Why Choose Us?
Complete Dental Care
We practice highest standards of sterilisation and infection control practices across all of our dental centres.
Innovative Technology
Satisfaction
Your consultations will not be hurried up at any cost. Patients are free to ask queries regarding all his medical issues
23+ Years
23 Years Of Experience
Dr.Shetty's Dental
Dr.Shetty’s Dental is one of the premier dental clinics in Bengaluru committed to becoming the ultimate destination for all your dental problems.Our team of professionals is committed to delivering the best quality dental health care for our patients. Our state of the art technology enables us to provide the highest quality care with a personal touch.Dental implants can restore your chewing and speaking abilities, prevent bone loss and shifting of your remaining teeth, and improve your facial appearance and self-esteem.
Services offered and conditions treated
Effectively removes infection
Stops tooth pain.
Helps in chewing
Makes teeth white.
Removes stains.
Gives a bright smile.
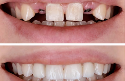
Beautiful smile
Even teeth
Natural Look
Dental care for children
Prevents tooth problems early
Builds good brushing habits
oral health assessment
Management of dry mouth
chronic illnesses.
missing teeth and supporting oral structures
Use of removable prostheses
Digital impressions
We Specialize in
Working Process

Fill the form

Book An Appointment

Testing Process

Reports Delivered
Latest News & Blogs
- General FAQ
- Help FAQ
It is recommended to visit every 6 months for a routine check-up and cleaning to maintain good oral health.
Yes, we provide specialized pediatric dental care to ensure your child’s teeth and gums are healthy from an early age.
Yes, all cosmetic treatments, including teeth whitening and veneers, are performed using safe and approved techniques.
It is recommended to visit every 6 months for a routine check-up and cleaning to maintain good oral health.
Yes, we provide specialized pediatric dental care to ensure your child’s teeth and gums are healthy from an early age.
Yes, all cosmetic treatments, including teeth whitening and veneers, are performed using safe and approved techniques.
Book An Appointment
Awards & Achievements
- Winner - Best Dental Clinic (2018) Famdent Award
- Winner - Best Clinic Team (2016) Famdent Award
- Winner - Best Dentist in Bangalore (2014) Prime Time Award
- Nominated - Best Dental Clinic (2015) Famdent Award
- Nominated - Best Clinic Interior (2015&2016) Famdent Award
- Nominated - Best Dental Clinic (2017) Famdent Award
CERTIFICATES





OUR SPECIALISTS
Shetty's Dental Photos
CLIENT TESTIMONIALS
OUR BRANCHES
Dodda Banaswadi Main Rd, above reliance digital rammurthynagar, Vijaya Bank Colony, Banaswadi, Bengaluru, Karnataka 560043.
Banjara Layout Main Rd, Dodda Kempaiah Layout, Kalkere, Bengaluru, Karnataka 560113.









